Request An Appointment
Make a Payment
Call
Home
About
Our Team
Office Pictures
Services
View All
Veneer Teeth
Dental Implants
Family Dentistry
Cosmetic Dentistry
Cleanings and Examinations
Sedation Dentistry
Digital X-Rays
Periodontal Disease Prevention
Emergency Dental Care
Invisalign
Oral Surgery Bone Grafting/Dental Implants
Oral Surgery Extractions/Wisdom Teeth
Teeth Whitening
Testimonials
Patient Info
View Patient Info
Forms
FAQs
Membership Plan
Blog
Contact
>
Smile Gallery
>
Cosmetic Dentistry Gallery
Cosmetic Dentistry Gallery
Return to Smile Gallery
Next
Related Services:
Cleanings and Examinations
Click image to see a larger picture
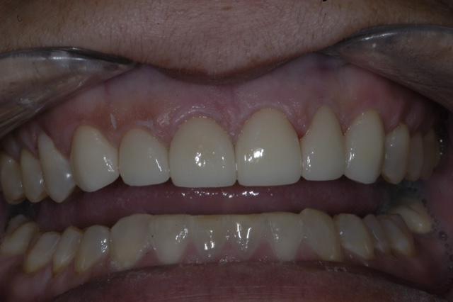
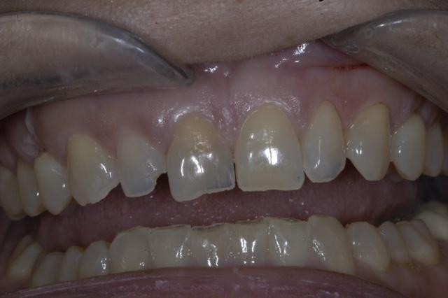
Before
After
Have Questions? Get in Touch
Contact Us
If you have difficulty using our website, please
email us
or call us at
View the
ADA Accessibility Statement
Turn on ADA Views
OK!
×
×
Contact Us Today
Give Us A Call
University Dental Associates -
Send Us an Email
Ready to Schedule an Appointment?
Book Online
Have Questions? Contact Us:
Required Field
Your Name:
Phone:
Email:
Are you a new patient?:
Are you a?
New Patient
Current Patient
How would you like us to contact you?
Please choose
Email
Call
How did you hear about us?
Please choose
I'm an existing patient
Google/Bing
Mailer
Word of mouth
Social media
Other
Who Referred You?:
Your Message:
This site is protected by reCAPTCHA and the Google
Privacy Policy
and
Terms of Service
apply.
Sending...
×
This Patient's Experience
Loading Testimonial...
Loading Case...